ROMA – Il signor Mario ha 80 anni e, dopo aver lavorato per tutta la vita come coltivatore diretto, ancora oggi, nonostante gli anni e gli acciacchi, continua a occuparsi del suo orticello in una campagna in provincia di Viterbo.
Ma Mario ha una sua storia clinica complessa e articolata, iniziata 10 anni fa quando, a causa di un dolore sempre più forte e insistente alla gamba destra effettuava una visita ortopedica. Dopo una serie di esami, lo specialista consultato comunicava a Mario che quei fastidi erano procurati da un tumore osseo raro (un adamantinoma) a carico della tibia.
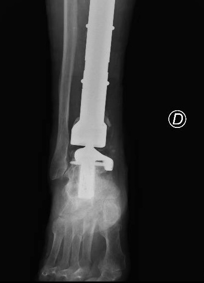
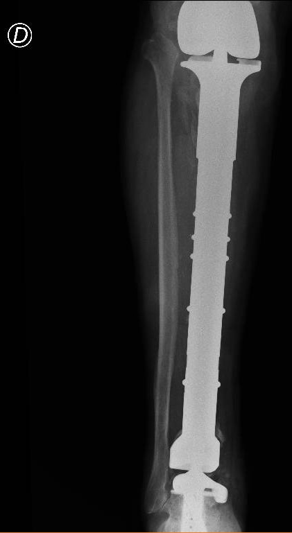
Il paziente veniva dunque trattato con una resezione del tumore con impianto di mega-protesi di tibia prossimale (cioè nell’area vicino al ginocchio). Ma i problemi non erano finiti. Dopo circa un anno dall’intervento, compariva una grave infezione della protesi impiantata e questo porta Mario a una serie di complessi interventi chirurgici, esitati con l’impianto di una protesi totale di gamba e di caviglia in titanio, rivestita in argento per proteggerlo dalle infezioni.
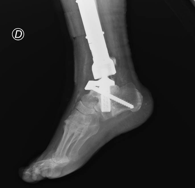
A distanza di sei anni, Mario torna dagli ortopedici del Gemelli per la comparsa di un dolore alla caviglia. Gli esami effettuati rivelano la rottura di una vite della protesi, a livello della caviglia. È necessario dunque sostituire questo pezzo, ma l’unico modo per farlo è facendo confezionare una protesi su misura (‘custom-made’). Gli ortopedici del Gemelli inviano la TAC di Mario all’Implantcast, una ditta specializzata di Buxtehude, una cittadina a sud ovest di Amburgo.
Basandosi sulla ricostruzione 3D della caviglia ‘bionica’ di Mario, i bioingegneri realizzano un “calco” della protesi custom-made con una stampante 3D, sul quale viene poi realizzata la protesi in titanio per l’impianto definitivo. Tutto è pronto per l’intervento al Gemelli che viene realizzato dal professor Carlo Perisano, professore aggregato dell’Università Cattolica del Sacro Cuore e dirigente medico presso la UOC di Ortopedia e Traumatologia di FPG, diretta dal professor Giulio Maccauro. Si tratta di un intervento unico nel suo genere, un esempio di come la medicina di precisione e personalizzata sia ormai entrata a far parte anche degli interventi chirurgici. Che dà i suoi frutti. A distanza di appena qualche giorno dall’intervento, Mario sta di nuovo in piedi sulla sua gamba ‘bionica’ arricchita di quest’ultimo gioiello tecnologico.
“Il paziente era stato sottoposto negli anni a diversi interventi chirurgici per il trattamento di un tumore osseo della tibia e delle successive complicanze che avevano compromesso anche le articolazioni del ginocchio e della caviglia – spiega il professor Perisano -. Nel 2019, è stato sottoposto a posizionamento di mega-protesi custom-made personalizzata di tibia totale ginocchio e caviglia, scongiurando così il rischio di una chirurgia demolitiva, ovvero dell’amputazione dell’arto, garantendo al paziente il ritorno alle normali attività quotidiane.
Le protesi personalizzate (o ‘custom-made’) rappresentano un’innovazione significativa in ambito ortopedico. Si tratta tuttavia di impianti costosi, proprio perché realizzati ‘su misura’, che vengono per questo riservati a casi particolari e selezionati. L’impiego di tali protesi ci consente di personalizzare l’intervento sulle specifiche esigenze del paziente, garantendo un’accurata riproduzione anatomica ed un elevato grado di recupero funzionale. Nel caso specifico, la realizzazione di una componente astragalica su misura ci ha consentito di revisionare l’attuale protesi di caviglia e ha permesso al paziente un precoce ritorno ad un livello funzionale normale”. La revisione con una protesi di caviglia custom made di una protesi totale di caviglia e tibia è un intervento finora mai descritto in letteratura.
L’obiettivo di questi interventi di alta specializzazione è quello di minimizzare le complicanze, scongiurare il ricorso a chirurgie demolitive e consentire al paziente di proseguire la sua normale vita quotidiana. Le protesi personalizzate sono progettate su misura per il singolo paziente, tenendo conto delle peculiari caratteristiche anatomiche e della tipologia di trattamento. Nel caso specifico del signor Mario abbiamo fatto realizzare una protesi su misura per la sua caviglia, un’articolazione per la quale il ricorso all’uso di protesi customizzate è molto meno frequente rispetto ad articolazioni come anca, ginocchio e spalla e non scevro da difficoltà tecniche ed anatomiche”.
Nei mesi precedenti all’intervento chirurgico è stato elaborato un protocollo di pianificazione chirurgica ed un prototipo della componente astragalica e tibiale, che comprendeva dettagliate indicazioni relative ai tagli di resezione ossea, alle dimensioni della componente e a tutti gli step intra-operatori. Successivamente, previa accurata valutazione del progetto ed ulteriori modifiche, è stata realizzata la componente protesica definitiva.
“Si tratta di interventi di estrema precisione – commenta il professor Giulio Maccauro, Ordinario di Ortopedia dell’Università Cattolica del Sacro Cuore -. Grazie ad un’accurata pianificazione pre-operatoria e allo strumentario dedicato ed estremamente sofisticato necessario per il confezionamento di queste protesi speciali (maschere di taglio, guide per posizionare le componenti protesiche e la protesi custom made stessa) ci è possibile effettuare interventi molto precisi, che riducono gli errori intraoperatori e guidano l’operatore nei processi decisionali e nell’atto chirurgico impensabili in passato”.






